Svi slučajevi





All-on-4 i All-on-6 Prije-Poslije
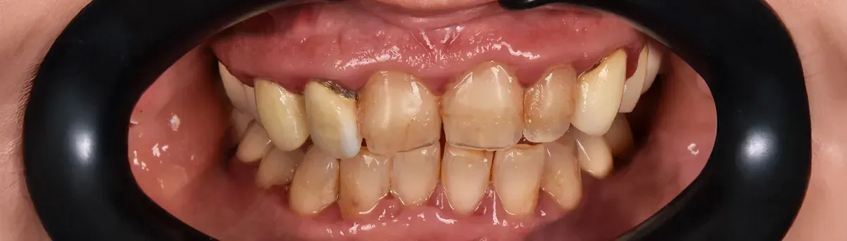
Dina J.
O postupku
Pacijentica nam je došla suočena s dentalnom situacijom koja je utjecala na funkciju i estetiku njenog osmijeha. Nakon detaljne dijagnostike, naš stručni tim predložio je kombinaciju All-on-6 terapije u gornjoj i All-on-4 terapije u donjoj čeljusti kako bismo osigurali trajno i pouzdano rješenje.
Rezultat je potpuna transformacija osmijeha - stabilan zagriz, prirodna estetika i osmijeh koji pacijentici vraća samopouzdanje i kvalitetu života.
Iskustvo i stručnost IMED tima
Poliklinika IMED okuplja najveći broj specijalista na jednom mjestu u regiji. Naš tim svakom slučaju pristupa individualno, s vrhunskom stručnošću i preciznošću. Težimo savršenstvu u svakom zahvatu – jer znamo da detalji čine razliku.
Sve što treba za osmijeh
Pošalji upitDogovorite pregled kod naših specijalista